Stroke

/Stroke

From the lab – Brain Scan Technology Extends Treatment Window for Stroke

Some stroke patients may be able to receive effective treatment later than originally thought—up to 16 hours after a stroke happens—thanks to brain imaging technology. But researchers emphasize that stroke is still an emergency.

A new NIH-supported […]

2021-11-02T13:03:46+08:00 June 5th, 2018|Categories: Stroke|0 Comments

International study suggests combination therapy may prevent stroke in certain people

News Release

Thursday, May 17, 2018


NIH-funded trial finds lower rate of secondary stroke but small risk of bleeding.

Results from an international clinical trial of more than 4880 participants, published in the New England Journal of Medicine, show […]

2021-11-02T13:03:53+08:00 May 18th, 2018|Categories: Stroke|0 Comments

Progress has stalled in US stroke death rates after decades of decline | CDC Online Newsroom

Press Release

Embargoed Until: Wednesday, September 6, 2017, 1:00 p.m. ET
Contact: Media Relations
(404) 639-3286

After more than four decades of decline, progress has slowed in preventing stroke deaths, according to the latest Vital Signs report by the Centers for Disease Control and Prevention (CDC). Not only has progress slowed among most demographic groups […]

2021-11-02T13:07:50+08:00 May 5th, 2018|Categories: Stroke|0 Comments

Lipoprotein (a) Blood Test: MedlinePlus Lab Test Information

What is a Lipoprotein (a) Blood Test?

A lipoprotein (a) test measures the level of lipoprotein (a) in your blood. Lipoproteins are substances made of protein and fat that carry cholesterol through your bloodstream. There are two main types of cholesterol:

  • High-density lipoprotein (HDL), […]
2021-11-02T13:07:51+08:00 May 2nd, 2018|Categories: Stroke|0 Comments

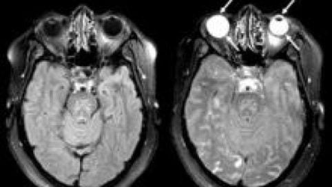
Eye could provide “window to the brain” after stroke

News Release

Wednesday, February 7, 2018


Preliminary results suggest strokes also affect the eye.

Research into curious bright spots in the eyes on stroke patients’ brain images could one day alter the way these individuals are assessed and treated. A team of scientists […]

2021-11-02T13:09:01+08:00 February 21st, 2018|Categories: Stroke|0 Comments