Stroke Symptoms and Warning Signs
A transient ischemic attack (TIA) is a warning stroke, but is commonly referred to by the public […]
Treat and Recover from Stroke
Calling 9-1-1 at the first symptom of stroke can help you get to the hospital in time for lifesaving stroke care.
Your stroke treatment begins the moment emergency medical services (EMS) arrive to take […]
Strokes May Lead to Epilepsy | Features | Epilepsy
Learn how preventing stroke can also prevent some kinds of epilepsy.
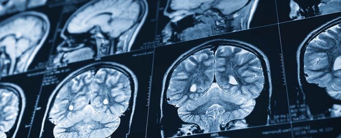
What is a Stroke?

A stroke happens when a clot blocks the blood supply […]
African Americans can significantly cut stroke risk by quitting smoking
African Americans are already almost twice as likely as whites to die from stroke. Now, new research finds that African Americans who smoke have more than double the risk of stroke, compared with African Americans who have never smoked.
A National Institutes […]
Brain imaging, telehealth studies promise better stroke prevention and recovery
Clinton B. Wright, M.D., M.S.
Stroke research is a priority for the National Institutes of Health (NIH). Stroke, which often stops blood from flowing to the brain or causes […]
A personal approach to stroke treatment
Gregory Symko, D.C., is a chiropractor who specializes in helping people with brain issues related to stroke. He helps them improve their hand-eye coordination and balance issues, working with their arms, legs, or hands.
Dr. Symko also brings a unique perspective to […]
Transcranial Doppler ultrasound: MedlinePlus Medical Encyclopedia
Defresne A, Bonhomme V. Multimodal monitoring. In: Prabhakar H, ed. Essentials of Neuroanesthesia. Cambridge, MA: Elsevier Academic Press; 2017:chap 9.
Ellis JA, Yocum GT, Ornstein E, Joshi S. Cerebral and spinal cord blood flow. In: Cottrell JE, Patel P, eds. Cottrell and Patel’s Neuroanesthesia. 6th ed. Philadelphia, PA: Elsevier; 2017:chap 2.
Matta B, Czosnyka M. Transcranial […]
Women Have a Higher Risk of Stroke

Stroke is no friend to women. It kills more women than men and women have more strokes than men.
In fact, one in five women […]
Stroke Facts | cdc.gov
The country’s highest death rates from stroke are in the southeastern United States.2
Find facts and statistics about stroke in the United States.
Stroke Statistics
- Stroke kills about 140,000 Americans each year—that’s 1 out of every 20 deaths.1
- Someone in the United States has a stroke every 40 seconds. Every 4 minutes, […]
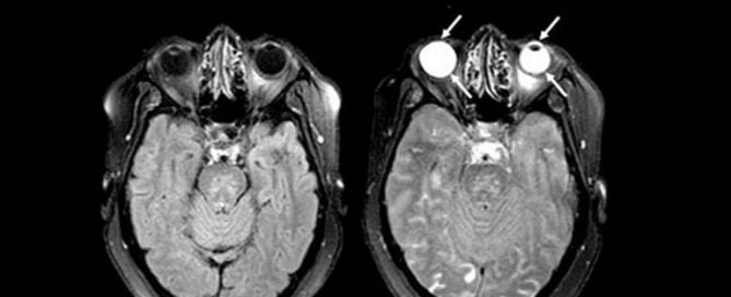
From the lab – Eyes May be ‘Windows to the Brain’ in Stroke Patients
Our eyes can tell us a lot about our health. They can help health care providers diagnose things like diabetes, genetic disorders, and cancer.
Our eyes may also help give insight into stroke, according to new research.
[…]